ALL ON 4, Dental implants

CLAMP DENTURE AND HYBRID BRIDGE ON IMPLANTS

clip-on prosthesis hybrid bridge
Case information
THE PATIENT
Xenia
TECHNIQUE
ALL ON 4 
THE PATIENT IS FROM
of Croatia
CONDITION
Crooked teeth, toothlessness
DENTAL IMPLANTS 
We used Nobel biocare and Ankylos dental implants

Krilova 9, Novi Sad

office@markovental.com

(381) 21 300 65 21

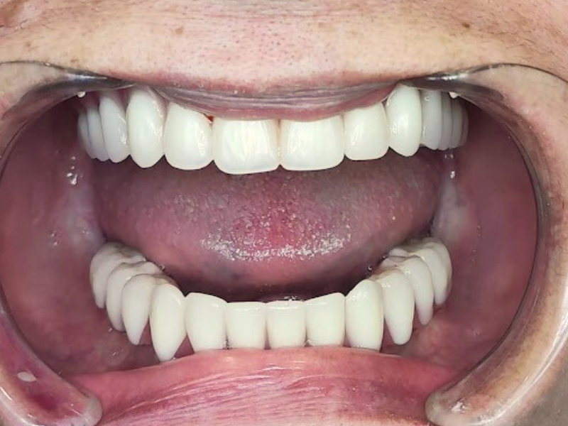
ksenia - opt shot - all on 6 all on 4 dental implants

Reconstruction of both jaws with the ALL ON 4 method

Ksenija came to us with full confidence on her brother's recommendation. Ksenia sent her 3D recording via email, so she didn't come to the first live screening. We placed 4 in the lower jaw dental implant and Xenia received temporary teeth in 24 hours using the all on 4 method, while we had two potential options in the upper jaw - if we were to do fixed work, we would have to place zygomatic implants, or to make Ksenia a clasp prosthesis and let's place 4 standard dental implants. Ksenia opted for the second option, so we set 4 for her Ankylos dental implant and a clip-on prosthesis, while below were a hybrid bridge.

ksenia-all-on-4-all-on-6-pre

A smile before the procedure

ksenia-all-on-4-all-on-6-after

A smile after the procedure 

Recapitulation
We removed existing unhealthy teeth
We installed 8 dental implants - 4 in the upper jaw (Ankylos) and 4 (Nobel biocare) in the lower jaw

We placed a clip-on prosthesis in the upper jaw

We placed a fixed hybrid bridge in the lower jaw
0
sr_RSSR
Share:
Social